මිනිසුන් ඇතුළු කිරිබී වැඩෙන සතුන්ගේ (ක්ෂීරපායීන්ගේ) පිරිමියකු බිහිකිරීමට හේතුවන ජානය ඉදිරියේ දී ජීව ලෝකයෙන් තුරන් වී යනු ඇති බව විද්යාඥයෝ පිරසක් අනතුරු අඟවති. ඔවුන් මේ බව පවසන්නේ ක්ෂීරපායී සතුන් බිහිවූ කාලයේ සිට මේ දක්වා ජනා පරිනාමය පිළිබඳ කරන ලද අධ්යයනයකිනි.
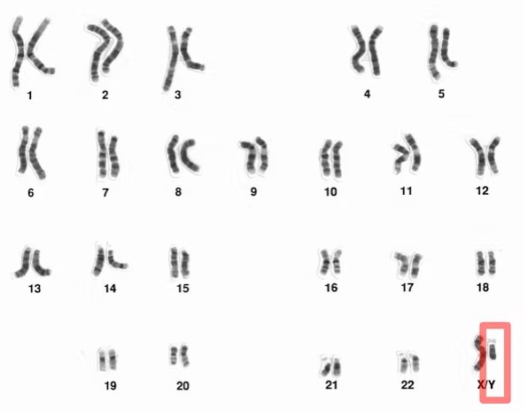
කලලයක් පිරිමියකු ලෙස හෝ ගැහැනියක ලෙස වර්ධනය වන්නේ ද යන්න තීරණය කරන වර්ණදේහය වන්නේ ක්ෂීරපායී සතුන්ගේ අවසන් වර්ණදේහ යුගලය වන 23 වැන්නයි. එය කාන්තාවන්ට එම වර්ණදේහ එක හා සමාන දිගකින් යුතු වන බැවින් එය XX ලෙස හැඳින්වේ. පිරිමින්ගේ ලිංග වර්ණදේහ දෙකෙන් එකක් X වර්ණදේහය වුව ද අනෙක ඊට වඩා කොට බැවින් එය Y වර්ණදේහයක් ලෙස හැඳින්වෙයි. ඒ අනුව පිරිමි බවට හේතුවන ලිංගික වර්ණදේහ යුගලය XY ලෙස නම්කර තිබේ.
විද්යාඥයන් පවසන්නේ පිරිමි සතුන් බිහිකරන එම Y වර්ණදේහය SRYලෙස නම්කර ඇති අතර එය ක්රමයෙන් ක්ෂය වී යන බවයි. එබැවින් අනාගතයේ දී මේ වර්ණදේහය මුළුමනින් ම අතුරුදන් වනු ඇතැයි ඔවුන්ගේ මතය වී තිබේ.
ක්ෂීරපායී සත්ව පරිණාමයේ මුල් අවස්ථාවක් වන ප්ලැටිපස් සහ එකිඩ්නා වැනි බිත්තර දමන ක්ෂීරපායී සතුන්ගේ පිරිමි සතුන් තුළ තිබෙන XY වර්ණදේහ යුගල දිගින් සමාන වීම විශේෂත්වයක්.

මින් අදහස් වන්නේ අතීතයේදී මුල් ක්ෂීරපායී සතුන්ගේ පිරිමි සතුන් තුළ මෙම ලිංග වර්ණදේහ යුගල සමාන ප්රමාණයට තිබූ බවයි.
මිනිසුන් අයත් වන දියුණු ක්ෂීරපායී සතුන් අතර බිත්තර දමන ක්ෂීරපායී සතුන්ගෙන් වෙන් වී පරිණාමය වීම ඇරඹෙන්නේ අදින් වසර මිලියන 166කට පමණ ඉහත දීයි.
ඒ අනුව එදා වර්ණදේහ 900ක් පමණ තිබූ අතීත Y – වර්ණදේහයේ ජාන සංඛ්යාව මිනිස් පරිණාමීය ඉතිහාසය තුළ 55ක් දක්වා අඩු වී තිබෙනවා.
පෘථිවිය මත ජීවය බිහිවන්නට ඇත්තේ අදින් වසර බිලියන 3.5කට පෙර බව විද්යාඥයන්ගේ විශ්වාසයයි. එසේ වුව ද ක්ෂීරපායී සත්ව පරිනාමයේ මුල්ම පුරුක්වන ප්ලැටිපස් සහ එකිඩ්නා වැනි බිත්තර දමන කිරිබී වැඩෙන සතුන් බිහි වී ඇත්තේ අදින් වසර මිලියන 166කට පෙරදී ය.
විද්යාඥයන් වවසන්නේ එවැනි සතුන් බිහි වූ මුල් කාලයේ දී පිරිමි බව තීරණය කරන XY ජානයේ වර්ණදේහ එකහා සමානව තිබූ බවයි. X ජානියේ වර්ණදේහ 900ක් අදටත් දක්නට ලැබෙන නමුත් පරිනාමයත් සමඟ Y ජානයේ වර්ණදේහ 900 සිට වර්තමානය වනවිට 55ක් දක්වා විශාල ප්රමාණයක් අඩු වී තිබේ. මේ පිළිබඳ ගණනය කළ විට පෙනී යන්නේ ඉදිරි වසර මිලියන 4.6ක කාලයේ දී ක්ෂීරපායී පිරිමි සතුන්ට තම පිරිමි බව තීරණය කරන වර්ණදේහ සියල්ල අහිමිවන බවයි.

විද්යාඥයන් පවසන්නේ මේ ගැටලුවට එක් හේතුවක් වන්නේ Y වර්ණදේහයේ පවතින මූලික දෝෂයක් බවයි. අපගේ සෑම සෛලයක ම පිටපත් දෙකක් ඇතත් අනෙක් සියලු ම වර්ණදේහවලින් Y වර්ණදේහය වෙනස් වෙයි. එය සෑම විටම පියාගෙන් පුතුන් වෙත සම්ප්රේෂණය වන්නේ තනි පිටපතක් ලෙසිනි. ඒ හේතුවෙන් එම වර්ණදේහවලට ජානමය ප්රතිසංයෝජනයකට ලක්වීමේ හැකියාවක් නැත. එම හැකියාව අහිමිවීමේ ප්රතිඵලය වන්නේ විකෘති ජාන ඉවත්කරමින් ජාන කාලයත් සමඟ පරිහානියට පත්වන අතර අවසානයේ එම වර්ණදේහ අහිමිවී යයි.
ඩෙන්මාර්කයේ පෑන් ජෙනෝම් ව්යාපෘතියේ මෙහෙයවීමෙන් මෙම අධ්යයනය සිදුකර තිබේ. පර්යේෂණය සිදුකර ඇත්තේ ලෝරිට්ස් ස්කොව්, මයිකල් හෙයිඩ් ෂෙයිරප්, කැතරිනා ඩී. මැකෝවා යන විද්යාඥයන් පිරිස විසිනි. පිරිමි පුද්ගලන් 62ක් යොදා ගනිමින් ඔවුන්ගේ ජාන විශ්ලේෂණය කරමින් සිදුකර ඇති මේ පර්යේෂණය PLoS Genetics හි ප්රකාශයට පත්කර ඇත.
මේ සම්බන්ධයෙන් පර්යේෂණ නිදුකර ඇති ඕස්ට්රේලියාවේ ලා ට්රෝබ් විශ්වවිද්යාලයේ ජෙනී ග්රේට්ස් පවසන්නේ වර්ණදේහ විනාශවීම වැළැක්විය නොහැකි බවයි. ඇතැම්විට ඒවා විනාශවීම බලාපොරොත්තු වනවාට වඩා සෙමෙන් සිදුවිය හැකි බව ද ඇය පවසයි. 2016 වර්ෂයේ දී ඇය අධ්යයනයකින් පෙන්වා දී ඇත්තේ ජපානයේ ස්පයිනි මීයන් සහ මවුල් වොල්ස් යන සතුන්ගේ Y වර්ණදේහය සම්පූර්ණයෙන් ම නැති වී ගොස් ඇති බවයි. නමුත් ඔවුන්ගේ ගැහැනු පිරිමි බව තවමත් දක්නට ලැබෙයි. කෙසේ වෙතත් මෙලෙස ජානවල සිදුවන වෙනස්කම් ජීව ලෝකයේ නව විශේෂ බිහිවීමට හේතුවන බව ද ඇගේ පර්යේෂණවලින් තහවුරු කර ඇත.
ඒ අනුව පැහැදිළි වන්නේ Y වර්ණදේය සම්පූර්ණයෙන් ම අහිමි වූ විශේෂවල පවා පිරිමි සහ ගැහැනු යන දෙවර්ගයම ප්රජනනය සඳහා අවශ්ය බවයි. එහි දී සිදුව ඇත්තේ ජානමය පිරිමි බව තීරණය වන ජානය වෙනත් වර්ණදේහයකට මාරු වී තිබේ. එවිට Y වර්ණදේහයක් පිරිමින් උපතලැබීම සඳහා අවශ්ය වන්නේ නැත.
සාමාන්ය මිනිස් ප්රජනනය සඳහා Y වර්ණදේහය අවශ්ය වන අතර නමුත් සහායක ප්රජනන ක්රම භාවිතා කරන්නේ නම් Y වර්ණදේහය අත්යාවශ්යම නොවනු ඇත. ජාන ඉංජිනේරු විද්යාව මගින් Y වර්ණද්හයේ ජාන ක්රියාකාරීත්වය ප්රතිස්ථාපනය කිරීමට හැකිවුවහොත් සමලිංගික ගැහැනු ජෝඩු හෝ වඳ පුරුෂයින්ට ගැබ් ගැනීමට හැකියාව ලැබෙනු ඇත. එවිට සෑම කෙනෙකුටම මේ ආකාරයෙන් පිළිසිඳ ගැනීමට හැකිවුව ද සාරවත් මිනිසුන් ස්වභාවික ප්රජනනය නතර කිරීමට ඉඩක් නැත.
ප්රවේණි විද්යාව සම්බන්ධ පර්යේෂණවල දී මෙය ඉතාමත් උණුසුම් විවාදවලට සහ සිත්ගන්නා සුළු සාකච්ඡාවලට ලක්වන විෂයයකි.
අප දැන්ම කරදර විය යතු නැත. Y වර්ණදේහය සම්පූර්ණයෙන් ම අතුරුදන් වේ දැයි අපිට තවමත් කිව නොහැකි දෙයකි. එසේ සම්පූර්ණයෙන් ම අතුරුදන් වුව ද සාමාන්ය පරිදි ප්රජනන ක්රියාවලිය දිගටම කරගෙන යාමට හැකිවන පරිදි මේ ජීව ලෝකයට පිරිමි අවශ්යවනු ඇත.
සැබැවින් ම ඉදිරි වසර මිලියන 4.6ක කාලයේ දී අනාගත දරුවන්ට පියකු වීමට වාසනාවන්ත පිරිමි කිහිප දෙනකු තෝරාගෙන “පිරිමි කොවිපොළ” කිහිපයක් බිහිකරීම පිළිබඳ පර්යේෂණ සිදුවනු ඇත.



